


歯の状態に応じて、ホワイトニング当日あるいは事前のご予約日にクリーニングをおこないます。
事前クリーニング料金
¥7,150(税込み) ~ ¥11,000(税込み)
むし歯、歯周病など、オフィスホワイトニング前の治療が必要になる場合があります。
治療にかかる期間は状況によって異なります。
※事前のむし歯・歯周病の診察は「保険診療」でおこないますので、保険証をお持ち下さい。
喫煙や飲食物などによる黄ばみ、1回でできるだけ白くしたい方、被せ物との色の差が目立つ歯などにおすすめのオフィスホワイトニングです。
所要時間
約3時間
(ホワイトニング前後処置を含む)
画像中央のスライドバーを左右に動かしてください。


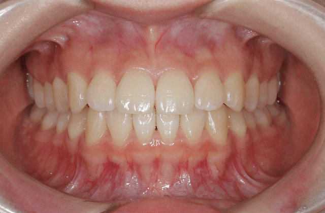
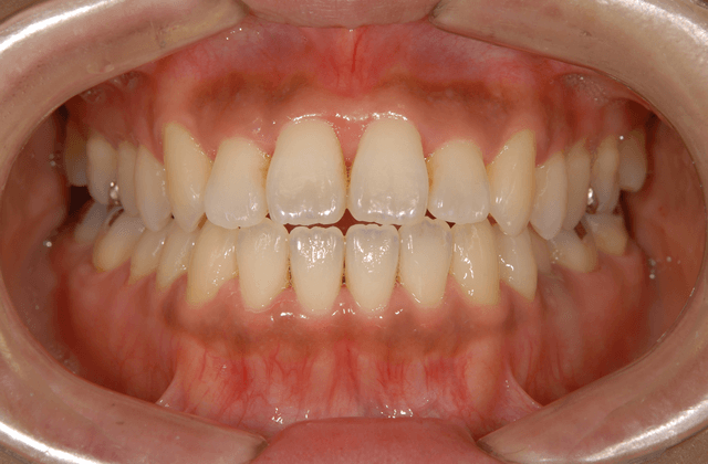
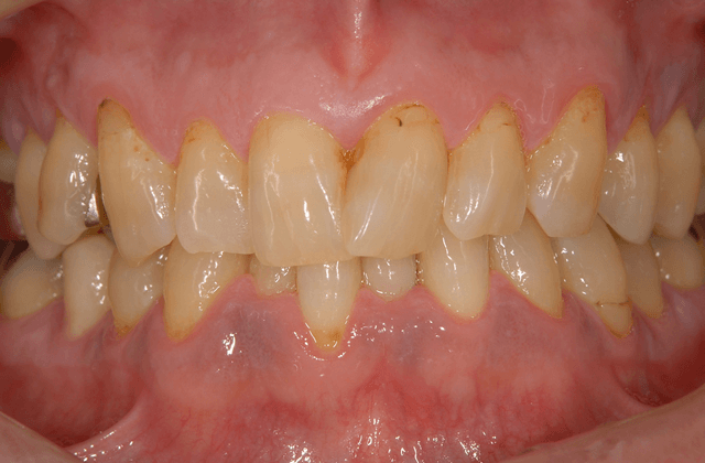
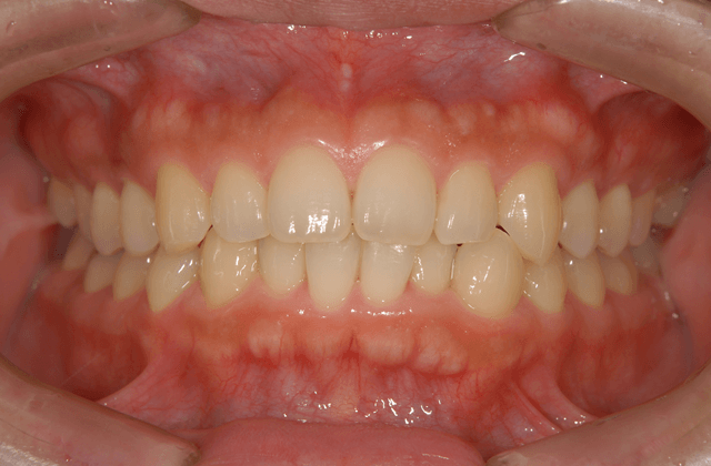
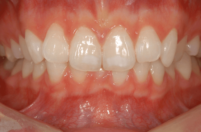
オフィスホワイトニング1回法。
術中に知覚過敏症状あったが、翌日までに消失。


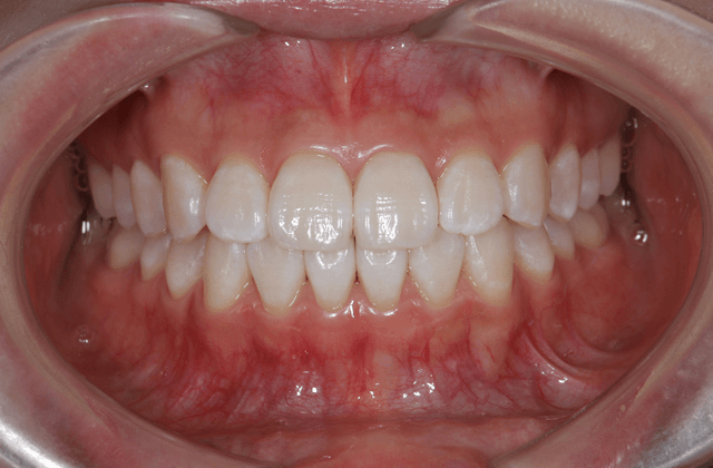
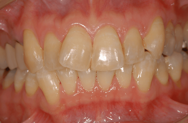
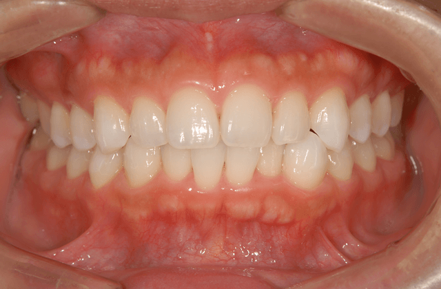
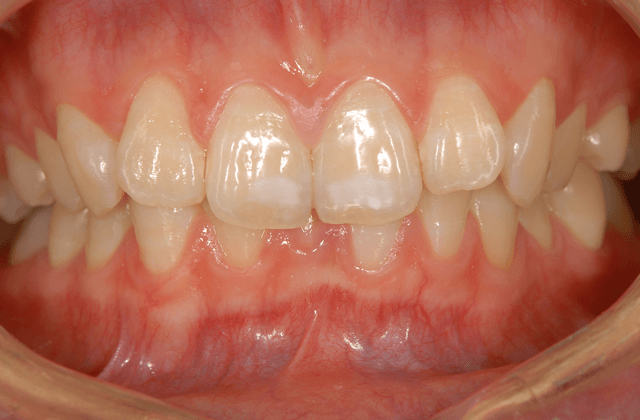
オフィスホワイトニング1回法。
術中および術後の症状なし。


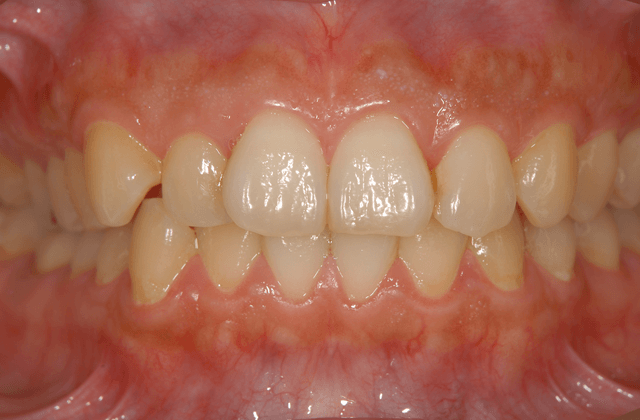
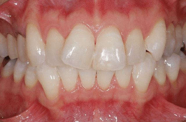
オフィスホワイトニング1回法。
術中および術後の症状なし。


1回で歯が白くなるホワイトニングを行っていただいた上で、引き続き、あなた専用のトレーとホームホワイトニング用のお薬を使って、ご自宅でホワイトニングをおこなって頂きます。
効果の出やすさは歯1本ごとに異なりますので、1~2週間ごとに歯の状態を拝見します。その都度、あなたに最適なアドバイスをさせて頂きます。
1回で歯が白くなるホワイトニング+ご自宅でのホワイトニングスターターキット、薬剤3本が含まれます。喫煙やエイジングなど、ガンコな黄ばみの改善に最適です。
所要時間
初回/1時間
事前診査、ホームホワイトニングのトレー型取り
2回目/3時間
1回で歯が白くなるホワイトニング
3回目以降/ご自宅でのホワイトニング
14回~。※経過チェックの費用は別途必要
薬剤の種類により費用が異なります。
22% 4本組¥16,000(税込み)
16% 1本¥3,600(税込み)
10% 1本¥3,000(税込み)
画像中央のスライドバーを左右に動かしてください。


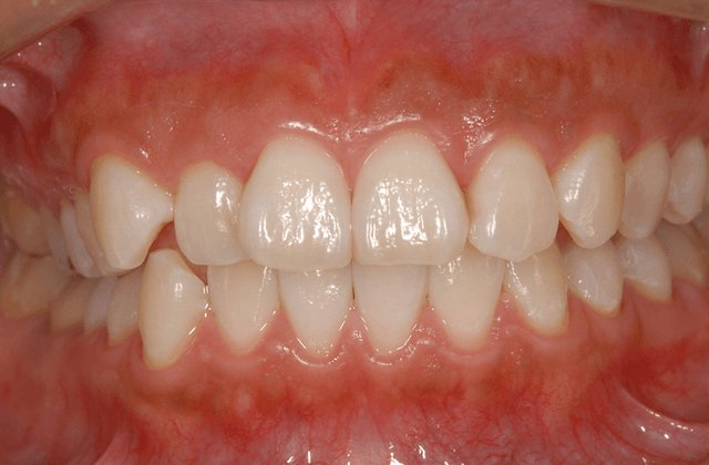
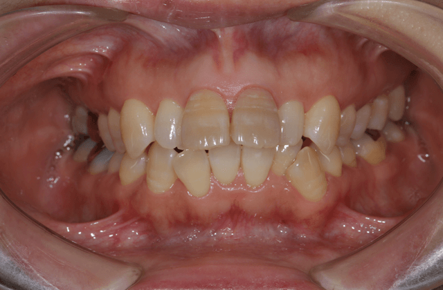
オフィスホワイトニング1回法+ホームホワイトニング2か月間。オフィスホワイトニング処置中に軽い知覚過敏症状あったが、翌日までに消失。


オフィスホワイトニング1回法+ホームホワイトニング7か月間。術中および術後の症状なし。


オフィスホワイトニング1回法+ホームホワイトニング1か月間。ホームホワイトニング期間中に軽い知覚過敏症状あり。



「安心できる医院のサポートで、少しずつ歯を白くしたい」という方に選ばれています。毎月あるいは数か月に一度の処方で、白さを保てます。
所要時間
初回/1時間
事前診査、ホームホワイトニングのトレー型取り
2回目/30分
トレーお渡し、使用法説明
3回目以降/15~30分
経過チェックなど。※診察代は別途必要です
薬剤の種類により費用が異なります。
22% 4本組¥16,000(税込み)
16% 1本¥3,600(税込み)
10% 1本¥3,000(税込み)
画像中央のスライドバーを左右に動かしてください。


ホームホワイトニング2か月間。
術中に軽い知覚過敏症状あり。


ホームホワイトニング2か月間。
術中および術後の症状なし。



